La prostatectomía radical asistida por robot, la mejor opción para el cáncer de próstata: Cleveland Clinic
Por Verónica Estrada | Reportera
El cáncer de próstata es uno de los cánceres más comunes que afectan a los hombres. Según los Centros para el Control y la Prevención de Enfermedades (CDC), por cada 100 personas con próstata, 13 desarrollarán cáncer de próstata en algún momento de sus vidas.
En México, a pesar de que la incidencia de cáncer de próstata es tres veces menor que lo observado en Estados Unidos de América, la mortalidad por esta causa es prácticamente igual (11.3 vs. 9.8 muertes por cada 100 mil hombres) y representa la primera causa de mortalidad por cáncer en hombres.
La prostatectomía radical asistida por robot es la cirugía más común que se realiza para extirpar una glándula prostática enferma y tratar el cáncer de próstata. Uno de los efectos secundarios de esta cirugía es que los pacientes experimentan incontinencia.
Necesidad urgente
Los pacientes pueden perder orina cuando tosen o ríen o sienten una necesidad urgente de orinar incluso cuando su vejiga no está llena. Este problema generalmente mejora durante los primeros seis a 12 meses sin tratamiento.
Cleveland Clinic fue uno de los primeros centros médicos del país en ofrecer prostatectomía radical robótica, un tratamiento quirúrgico mínimamente invasivo para el cáncer de próstata.
La cirugía asistida por robot permite a los cirujanos realizar esta compleja cirugía mínimamente invasiva con más precisión, ofreciendo a los pacientes mejores resultados.
Aspectos destacados del programa de cirugía y robótica de próstata:
- Realiza un trasplante robótico de nervio sural para la preservación de la potencia.
- La prostatectomía «libre de energía» preserva las erecciones después de la cirugía.
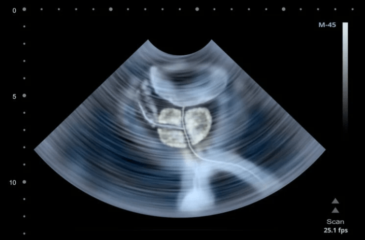
- La navegación por ultrasonido en tiempo real para hacer que la prostatectomía sea más precisa.
Pieretti está realizando un procedimiento llamado prostatectomía radical asistida por robot con preservación de Retzius en Cleveland Clinic Florida, cuyos pacientes han reportado tasas de recuperación de continencia urinaria significativamente más altas después de solo una semana después de la cirugía, en lugar de esperar 6 meses después de la cirugía.
Esto permite que los pacientes no tengan que usar un pañal/almohadilla debido a la pérdida de orina, y los pacientes pueden volver a su vida cotidiana normal mucho antes. –sn–

